Other Dental Treatments

Home Other Dental Treatments
Cosmetic Dentistry

The primary aim of this type of dentistry is to help restore the natural beauty of your teeth. If you have disfigured teeth, this particular type of dentistry can help in enhancing the beauty of your smile, and also aid in boosting your confidence level.

Gum Surgery

It is not only the teeth that are part of dental surgery. The purpose of your gums is to give shape and form to the contours of your mouth and provide as a frame for your teeth. Sometimes teeth may appear too long or too short, which is a clear sign of gum disease or recession.

Oral Surgery

It is the diagnosis, surgery and adjunctive treatment of dental problems. Therefore, just like any other surgical treatment is important in improving health, oral surgery is considered as a very vital procedure for dental hygiene and oral health.

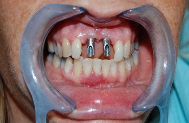
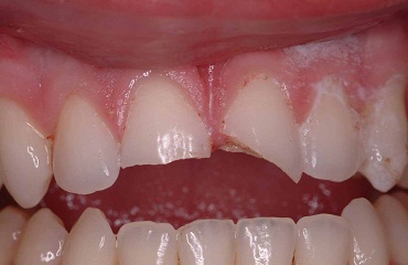
Teeth Replacement

There are several reasons teeth replacement work needs to be completed. Many times it is due to an accident of some type. Whether it's an auto accident, a slip and fall or a foul baseball gone horribly wild, a mouth injury can definitely lead to teeth replacement.

Dentures

Dental dentures are artificial replacements used for your natural teeth and gums. An accident, poor dental health, or disease caused you to have only a few healthy natural teeth or none at all. A dentist can recommend dentures to replace the missing teeth.

Teeth Grinding

Teeth grinding is clinically referred to as bruxism. Bruxism is the act of clenching and grinding of the teeth either during the day or while you sleep. Bruxism is considered both a medical and a dental problem.