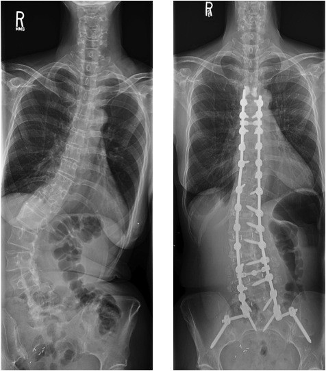
Spine Treatment


Aastha Orthopedic And Spine Hospital, spine specialist in Ahmedabad is a complete one stop solution for all your spine related problems. The spinal cord injury rehabilitation center has world class best spine doctors/therapists who are diligent and keen to provide you best of the treatments.

At Aastha Hospital, we cater a large variety of spine care treatments without surgery including curved spine treatment, DISH spine treatment, cervical spine treatment and spine arthritis treatment.

SYMPTOMS OF SPINAL STENOSIS

Spinal stenosis refers to the narrowing of spaces in the spine that can cause pressure on the spinal cord and nerves. About 75% cases of spinal stenosis occur in the lower back and in majority of the cases; the narrowing of the spine associated with stenosis compresses the nerve root, resulting in pain along the back of the leg. Spine stenosis treatment is a long term solution for this problem. There are many potential causes for spinal stenosis together with factors like aging, arthritis, heredity, tumors or trauma. Spinal stenosis may result in low back pain as well as pain in the legs. Stenosis may pinch the nerves that control muscle power and sensation in the legs. Additional symptoms may include frequent falling, difficulty while walking, numbness etc.

Spine Regions

The spine (also called the vertebral column or spinal column) is composed of a series of bones called vertebrae stacked one upon another. There are four regions of the spine:

  • Cervical (neck)
  • Thoracic (chest/trunk)
  • Lumbar (low back)
  • Sacral (pelvic)